1. 领域背景与文献引入
文献英文标题:A striking response of plasmablastic lymphoma of the oral cavity to bortezomib: a case report;发表期刊:Biomark Res;影响因子:未公开;研究领域:浆母细胞淋巴瘤治疗
浆母细胞淋巴瘤(PBL)是1997年首次被报道的侵袭性大B细胞淋巴瘤亚型,最初仅发现于人类免疫缺陷病毒(HIV)感染患者的口腔或颌部,肿瘤细胞表达浆细胞标志物(如CD38、CD138)而缺乏成熟B细胞标志物,疾病进展迅速且对多种化疗方案耐药,患者短期生存率极低。随着研究推进,HIV阴性人群的PBL病例逐渐被报道,这类病例多发生于口腔外部位,肿瘤细胞的浆细胞分化特征更为明显,但同样缺乏标准有效治疗方案。近年来,蛋白酶体抑制剂硼替佐米被尝试用于口腔外PBL的治疗,已有多个病例报道显示其具有一定疗效,但针对口腔原发PBL的硼替佐米治疗效果尚未有研究证实,这一空白为本次病例研究提供了学术必要性,旨在明确硼替佐米对口腔PBL的治疗价值。
2. 文献综述解析
本文献综述按HIV感染状态、发病部位、治疗方案三个维度对浆母细胞淋巴瘤的现有研究进行分类评述,系统梳理了不同亚型PBL的临床病理特征及现有治疗的局限性,进而凸显本研究的创新意义。
现有研究显示,HIV阳性PBL患者多以口腔原发肿瘤为主要表现,肿瘤细胞具有中心母细胞/免疫母细胞形态特征,增殖活性极高,对传统化疗方案耐药性强,患者短期生存率低;HIV阴性PBL则更常发生于口腔外部位,肿瘤细胞的浆细胞分化特征更为显著,部分病例无明确免疫抑制背景,但同样缺乏标准有效治疗方案。在硼替佐米治疗方面,现有报道均聚焦于口腔外PBL病例,包括HIV阳性及阴性患者,部分病例显示硼替佐米单药或联合治疗可快速缩小肿瘤,但也存在早期耐药复发的情况,且尚未有研究探讨口腔原发PBL对硼替佐米的反应性。通过对比现有研究的未解决问题,本研究的创新点在于首次报道了口腔原发PBL对硼替佐米的显著治疗反应,填补了硼替佐米在口腔PBL治疗领域的研究空白,为这类难治性肿瘤提供了新的治疗选择依据。
3. 研究思路总结与详细解析
本研究以临床病例为核心,研究目标是验证硼替佐米对口腔原发浆母细胞淋巴瘤的治疗有效性,核心科学问题为口腔PBL是否对硼替佐米敏感,技术路线遵循“病例诊断→初始化疗无效→替代治疗干预→疗效监测→结论总结”的临床研究逻辑,通过单病例的诊疗过程分析明确硼替佐米的治疗价值。
3.1 病例临床诊断与病理分型
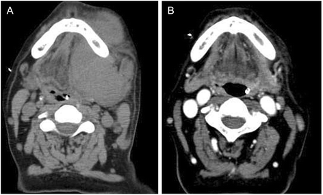
实验目的是明确患者的肿瘤类型、分期及病理特征,为后续治疗方案选择提供依据。方法细节为:对58岁无HIV感染史的男性患者进行临床检查、计算机断层扫描(CT)、口腔肿瘤组织活检(苏木精-伊红染色、免疫组化(IHC)、EB病毒编码RNA原位杂交、染色体核型分析)及骨髓穿刺检查。结果解读:CT显示口腔内巨大肿瘤(无淋巴结肿大,如图1a所示),苏木精-伊红染色可见中心母细胞形态的大淋巴细胞,免疫组化结果显示肿瘤细胞CD138、CD38、CD56、MUM-1阳性,CD20、CD79a、BCL-6阴性,EB病毒及HHV8检测阴性,Ki-67增殖指数接近100%(n=1,P未明确),染色体核型异常,骨髓穿刺显示肿瘤细胞浸润,最终诊断为IVA期口腔PBL。


产品关联:文献未提及具体实验产品,领域常规使用免疫组化抗体、染色体核型分析试剂盒、原位杂交检测试剂等。
3.2 初始化疗方案实施与疗效评估
实验目的是通过传统化疗方案控制肿瘤进展,缓解患者临床症状。方法细节为:确诊后立即给予患者THP-COP方案化疗,药物包括吡柔比星、环磷酰胺、长春新碱、泼尼松龙,同时给予静脉水化和别嘌醇治疗。结果解读:尽管及时启动化疗,患者口腔肿瘤仍持续增大,存在窒息风险,提示传统化疗方案对该患者的口腔PBL无效(n=1,P未明确)。
3.3 硼替佐米治疗与疗效监测
实验目的是评估硼替佐米对化疗耐药的口腔PBL的治疗效果。方法细节为:入院第9天开始给予硼替佐米治疗,剂量为1.3mg/m²,分别在第1、8、15天给药,第一周期未联合地塞米松,第二周期联合地塞米松治疗;治疗过程中监测肿瘤大小、血清乳酸脱氢酶(LDH)水平等指标。结果解读:硼替佐米治疗1周后,口腔肿瘤显著缩小,1个月后口腔无明显肿胀(CT检查证实,如图1b所示),血清LDH水平快速下降;但第三周期后出现硼替佐米耐药,改用EPOCH方案联合放疗,患者最终在诊断后5个月因疾病进展死亡(n=1,P未明确)。产品关联:文献未提及具体实验产品,领域常规使用硼替佐米注射剂等抗肿瘤药物。
4. Biomarker研究及发现成果
本研究涉及的Biomarker包括浆母细胞淋巴瘤的免疫表型标志物及增殖活性标志物,通过临床病理检查完成筛选与验证,明确了肿瘤的病理分型,并为硼替佐米的治疗反应提供了潜在机制依据。
Biomarker定位为CD138、CD38、CD56、MUM-1(阳性)、CD20、CD79a(阴性)及Ki-67(增殖指数接近100%),筛选与验证逻辑为:先通过临床症状与影像学检查定位肿瘤,再通过组织活检的免疫组化、原位杂交技术验证标志物表达,结合染色体核型分析与骨髓穿刺结果明确肿瘤分期。研究过程详述:Biomarker来源为患者的口腔肿瘤组织,验证方法包括免疫组化染色、EB病毒编码RNA原位杂交、染色体核型分析;特异性表现为这些标志物组合可有效区分浆母细胞淋巴瘤与其他B细胞淋巴瘤(如成熟B细胞淋巴瘤CD20阳性),敏感性方面Ki-67接近100%提示肿瘤具有极高的增殖活性(n=1,P未明确)。核心成果提炼:这些Biomarker不仅确认了口腔PBL的诊断,还为硼替佐米的治疗反应提供了潜在机制支持(PBL的BCL-6阴性/MUM-1阳性表型提示其起源于生发中心后B细胞,与NF-κB通路激活相关,而硼替佐米可抑制该通路);本研究的创新性在于首次发现口腔原发PBL对硼替佐米的显著反应性,为这类肿瘤的治疗提供了新的临床依据,但由于是单病例研究,缺乏大样本数据支持,且患者最终因耐药死亡,该Biomarker与硼替佐米疗效的相关性仍需进一步验证。
